“医生快帮帮我,我两天没小便了!估计是结石卡起了!”近日江阳平康医院接诊了一位从大方县急匆匆赶来无法小便的患者,此患者自述自己有多年的结石病,近几日腹痛腹胀无法排尿,也无法喝水。
据接诊医生初步判断,很可能是因为结石堵塞输尿管导致无法排尿。在抽血化验后发现,此患者肌酐高达1214umol/L是正常人的10倍!(正常为53-123umol/L),且通过CT诊断,确实有两颗明晃晃的结石卡在了双肾输尿管上段。

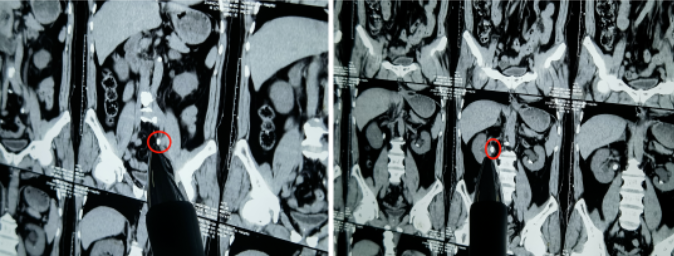
(左肾及右肾输尿管上段均被结石卡住)
“病人情况非常不好,赶紧安装支架,先把尿通了,如果不及时处理,后期很可能会发展尿毒症!”医生见状,不敢懈怠,赶紧通知结石专科团队为患者进行对症处理。当逐步排尿恢复正常后,患者的症状也逐渐缓解,3天后肌酐也降低至545umol/L。同时,为了解除患者的困扰,医生为他后期恢复制定了一系列治疗方案,并针对结石进行碎石治疗等。

(院长查房时为患者讲解结石的危害)
那为什么肾结石会引发尿毒症呢?当肾脏里的结石移动到尿道,阻塞了尿路,就会影响排尿排便,并损害尿路黏膜,致肾功能衰退。如果在这过程中发生感染,就会发展成肾炎,或者是肾积水,最终导致双肾功能衰竭,拖延到晚期就是尿毒症。

(患者入院时的血肌酐)

(3天后肌酐明显下降)
那么患有肾结石的朋友有什么办法可以减轻症状呢?江阳平康医院结石病专科副主任医师周发章说,既然肾结石是因为喝水太少造成的,那当然我们要多喝水,建议结石患者一天最少喝八斤水,再配合着吃结石通颗粒,进行了碎石取石手术之后坚持吃排石药物,可以有助于体内残余的小结石排出。在这期间一定不能有不良的饮食习惯,多运动也可以帮助体内的小结石排出。

Copyright©2014-2023 jypkyy.com All rights reserved. 版权所有:泸州江阳平康医院 备案号:蜀ICP备2022025719-1号

1、任何有关问题,都可以扫描二维码直接与我们在线医护沟通交流;
2、您可以通过微信自带的扫描二维码功能,直接扫描左侧的二维码图像关注我们;